小児矯正④
せんげん台駅西口から徒歩3分にある、せんげん台くすのき通り歯科でございます。
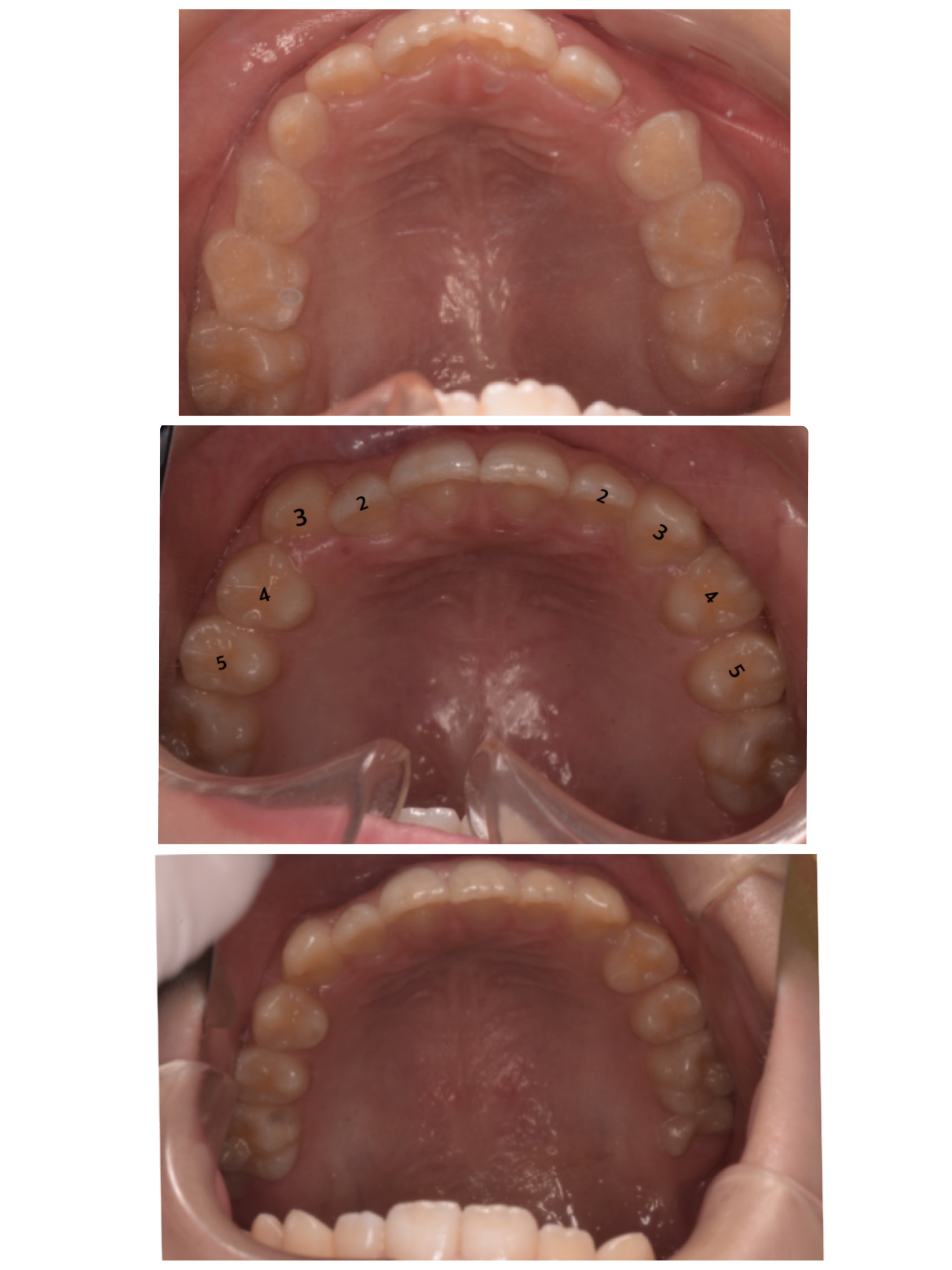
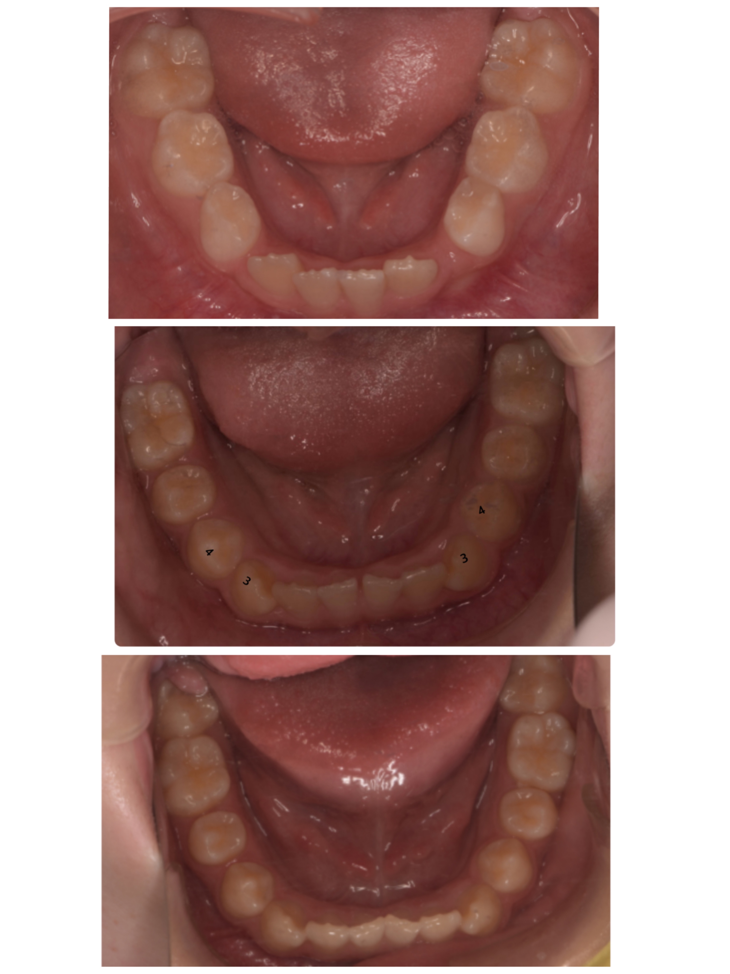
スタッフのお子様の小児矯正の経過になります🦷
お口の中のお写真も見ていくとまだ下の歯は重なりがありますが、少しずつその重なりも少なくなって来ています。
歯と歯の間のスペースも少し広がって来ているのでもっと綺麗に並んでくれそうかな?と思います☺︎
お子様のプレート装置はブラケット矯正やマウスピース矯正とは少し違い、歯を直接動かすわけではなく顎のスペースを広げて並ぶようにする矯正装置なので少しずつ歯が並んでいくのを見守っていく形になります。
また経過を載せていきます。
春日部市からも近い、越谷市「大袋駅」と「武里駅」の間「東武スカイツリーライン線せんげん台駅」西口、くすのき通り沿い徒歩3分にある平日18時半まで、土曜診療の『インプラント』から『小児歯科』『矯正歯科』まで行い、患者さんが通いやすい、おすすめ、人気の歯医者を目指しています。
越谷市の歯医者 医療法人社団健弘会 せんげん台くすのき通り歯科
TEL
ホームページ
http://www.kusunokidori-shika.com/
インターネット予約は下記から
https://reservation.stransa.co.jp/8395297b44b322763a6845f3ad7fc9a2








































